راز بقا: سل دوباره مرگبارترین بیماری عفونی جهان شد و کووید-۱۹ را پشت سر گذاشت. گزارش تازه سازمان جهانی بهداشت (WHO) نشان میدهد که این بیماری با سابقه طولانی، جایگاه خود را بهعنوان بزرگترین قاتل عفونی بازپس گرفته است؛ جایگاهی که در سال ۲۰۲۰ به دلیل همهگیری کووید-۱۹ از دست داده بود.
به گزارش راز بقا، این گزارش که بر اساس دادههای ۱۹۳ کشور تهیه شده است، حاکی از آن است که در سال ۲۰۲۳، بیماری سل ۱.۲۵ میلیون نفر را به کام مرگ کشاند، در حالی که این رقم برای کووید-۱۹ تنها ۳۲۰،۰۰۰ نفر بود. تعداد مبتلایان به سل نیز به ۱۰.۸ میلیون نفر رسیده است که نسبت به ۱۰.۷ میلیون نفر در سال ۲۰۲۲ افزایش اندکی نشان میدهد و در مقایسه با سالهای گذشته رشد ثابتی داشته است.

بیشتر موارد ابتلا به سل در ۳۰ کشور جهان گزارش شده است؛ هند، اندونزی، چین، فیلیپین و پاکستان بیشترین سهم را در میان مبتلایان داشتهاند.
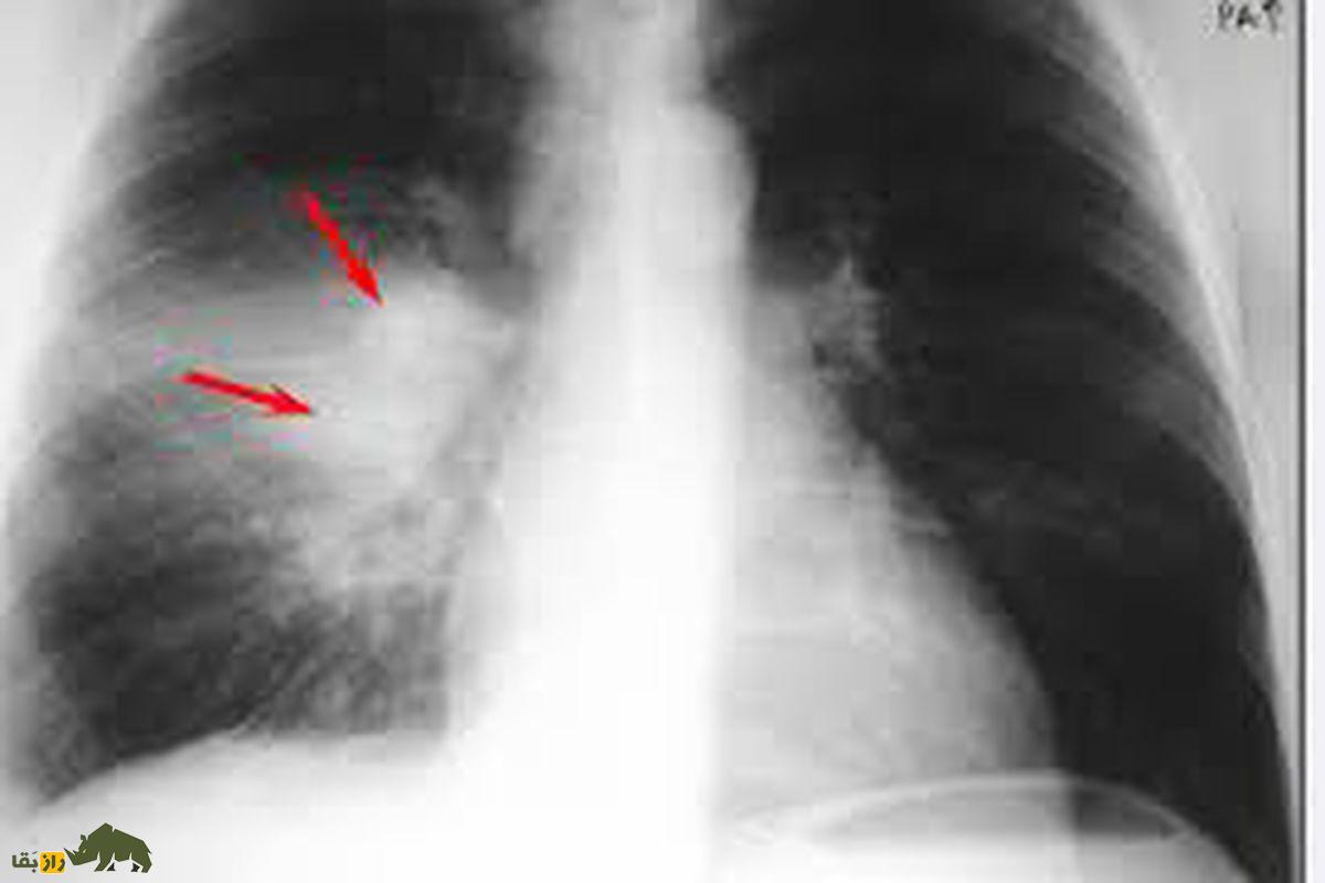
سل که توسط باکتری Mycobacterium tuberculosis ایجاد میشود، بیماریای قابل درمان است که اگر بهموقع تشخیص داده نشود، جان نیمی از مبتلایان را میگیرد.
به گزارش راز بقا، در این گزارش آمده است: «سل، بیماریای قابل پیشگیری و درمان است؛ با این حال در سال ۲۰۲۳ بار دیگر بهعنوان بزرگترین عامل مرگ عفونی مطرح شده است و تقریباً دو برابر تعداد مرگهای ناشی از ایدز جان انسانها را میگیرد.»

هماکنون شش واکسن جدید در مرحله آزمایشهای بالینی نهایی هستند که امید است تا پنج سال آینده روشهای درمانی جدیدی به ارمغان بیاورند. با این حال، بودجه سالانه جهانی برای پیشگیری و درمان سل، تنها ۵.۷ میلیارد دلار است؛ در حالی که سازمان بهداشت جهانی برای مقابله موثر با این بیماری، به بودجه سالانه ۲۲ میلیارد دلار نیاز دارد.
دکتر تدروس آدهانوم گبریسوس، مدیرکل WHO، تاکید کرده است: «اینکه سل همچنان جان انسانها را میگیرد، آن هم در شرایطی که ابزارهای لازم برای پیشگیری، تشخیص و درمانش وجود دارد، یک تراژدی است. از همه کشورها میخواهیم که به تعهدات خود برای استفاده گسترده از این ابزارها عمل کنند تا به دوران بدون سل برسیم.»