راز بقا: داستان آفرینش حوا از دنده آدم در کتاب مقدس در بخش سفر پیدایش (Genesis) در عهد عتیق، فصل ۲، آیات ۲۱ تا ۲۳ آمده است که منجر به شکلگیری این باور در فرهنگها و مذاهب مختلف شده است، داستانی که در دیگر متون مقدس نیز آمده است.
اکثر افراد با ۱۲ جفت دنده در هر سمت بدن به دنیا میآیند که در مجموع ۲۴ دنده میشود. برخلاف باور نادرست رایج، این تعداد در مردان و زنان یکسان است. این افسانه معمولا به داستان کتاب مقدس در مورد خلقت حوا از یکی از دندههای آدم نسبت داده میشود. یکی از نخستین افرادی که در علم غربی این ایده را به چالش کشید، آندریاس وسالیوس بود که در کتاب خود به نام «ساختار بدن انسان» که در سال ۱۵۴۳ و در هفت جلد منتشر شد، به آن پرداخت.
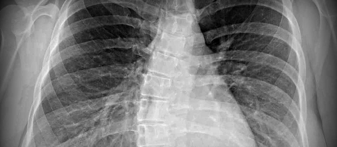
دندهها استخوانهای هلالیشکلی هستند که از اندامهای حیاتی قفسه سینه محافظت میکنند و در عین حال ریهها را قادر میسازند تا برای تسهیل تنفس متورم شوند. هفت جفت اول دندهها که به نام «دندههای حقیقی» شناخته میشوند، به وسیله غضروف مستقیماً به جناغ سینه متصل هستند. پنج جفت بعدی به عنوان «دندههای کاذب» شناخته میشوند که سه جفت از آنها به طور مشترک به جناغ سینه متصل هستند. دو جفت آخر به نام «دندههای شناور» شناخته میشوند، زیرا به جناغ سینه متصل نیستند، بلکه به ستون فقرات متصل هستند.
درصد کمی از جمعیت به دلایل مختلف به وجود تعداد دندههای کمتر یا بیشتری از عدد ۲۴ دارند.
یکی از این شرایط «دنده گردنی» نام دارد که در آن یک دنده اضافی از مهرهای در گردن رشد میکند. برخی افراد با این وضعیت تنها یک دنده در یک طرف گردن دارند، در حالی که دیگران ممکن است یک جفت دنده در هر دو طرف پایین گردن داشته باشند.

این وضعیت معمولاً مشکلی ایجاد نمیکند، هرچند در صورتی که ناراحتی یا عوارضی ایجاد کند، میتوان دنده اضافی را از طریق جراحی برداشت. مهمترین عارضهای که ممکن است ایجاد شود، «سندرم خروجی قفسه سینه» است که در آن عصبها یا عروق خونی توسط دنده اضافی فشرده میشوند.
برآورد شده است که بین ۰.۵ تا ۱ درصد از جمعیت انسانی دارای دنده گردنی هستند. این وضعیت ژنتیکی بوده و احتمالاً به دلیل جهش در ژنهای Hox ایجاد میشود، که گروهی از ژنهای تنظیمی هستند و محل تشکیل اعضای بدن مانند اندامها و اندامهای داخلی را در دوران رشد جنینی تعیین میکنند.
این وضعیت همچنین در برخی حیوانات نیز دیده میشود. مطالعات نشان دادهاند که درصد بالایی از ماموتهای پشمالو دارای دندههای گردنی بودهاند.
چندین وضعیت ژنتیکی دیگر نیز میتوانند بر تعداد دندهها تأثیر بگذارند که از جمله آنها بیماریهای نادری همچون دیسپلازی سوندیلوکاستال، دیسپلازی سوندیلوثوراسیک و سندرم گلدنهار هستند. همچنین گزارشهایی وجود دارد که برخی از افراد مبتلا به سندرم داون گاهی تعداد کمتری دنده دارند.
افراد همچنین میتوانند به دلایل زیبایی از جمله دستیابی به کمری باریکتر دندههای خود را از طریق جراحی بردارند. با این حال، این یک جراحی خطرناک با ریسک بالای عوارض است. افسانهای معروف درباره همین جراحی در مورد مریلین منسون، خواننده راک آمریکایی هم وجود دارد.