راز بقا: یک عصبشناس آلمانی مدعی شده که توانسته منطقه مغزی که شیطان ذهنی قاتلان، متجاوزان و سارقین در آن فعالیت داشته را شناسایی کند.
به گزارش راز بقا؛ دکتر «جرارد راث» اظهار کرده که وصله شر در لوب مرکزی مغزی قرار داشته و در تابشهای ایکس به شکل یک توده سیاه مشخص میشود. راث این منطقه را در زمان بررسی مجرمین جرائم خشونتآمیز محکوم در طول سالها پژوهش برای دولت آلمان شناسایی کرده است.
وی به این مجرمین فیلمهای کوتاه نشان داده و امواج مغزی آنها را اندازهگیری کرد. هر زمان که صحنههای خشن و زننده در این فیلمها پخش میشد، این افراد هیچ حسی را نشان نمیدادند و در واقع، در مناطق مغزی مرتبط با حس شفقت و اندوه هیچ تغییری ایجاد نمیشد.
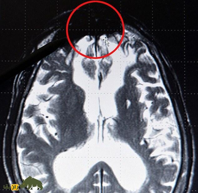
به گفته راث، اسکنهای افراد دارای سوابق خشونت جنایی، توده تاریکی در جلوی مغز را نشان میدهد که وی بر اساس آنها مدعی شده که برخی از مجرمین از زمینه ژنتیکی برای خشونت برخوردارند.

راث افزود: هنگامی که به اسکنهای مغزی صدها مجرم مینگرید، تقریبا همیشه کمبودهای شدیدی در بخش پیشانی پایینتر مغز وجود دارد. مواردی بوده که شخص در نتیجه یک تومور یا آسیب در این منطقه مجرم شده و پس از عمل جراحی برای برداشتن تومور، فرد به حالت عادی بازگشته است.
وی اظهار کرد: همچنین ممکن است کمبودهای فیزیولوژیکی وجود داشته باشد؛ چرا که مواد خاصی مانند سروتونین در جلوی مغز به شکل موثر کار نمیکنند؛ اما مسلما این منطقه جایی است که شر در آن شکل گرفته و فعالیت میکند.

به گفته راث هیچ دو مجرمی شبیه به هم نبوده و وی مجرمان را برای شناسایی جایگاه مغزی شر به سه دسته تقسیم کرده است:
گروه اول در طبقه «از لحاظ روانی سالم» قرار دارند که اعضای آن در یک محیط آماده برای خشونت، دزدی و قتل بزرگ شدهاند.
گروه دوم مجرمان با اختلال روانی هستند که جهان را تهدیدآمیز میبینند و گروه سوم کاملا روانی هستند که دیکتاتورهایی مانند هیتلر و استالین در آن جا گرفتهاند.
دکتر راث یکی از شناختهشدهترین متخصصان مغز در آلمان بوده و چند سال پیش در خط مقدم خواستاران اصلاح صدور حکم قرار داشت